What Causes Air Fluid Levels In Bowel Obstruction . an edematous bowel wall that measures more than 3 mm is. the pathologic effects of acute intestinal obstruction are fluid and electrolyte imbalances, and mechanical consequences of increased luminal pressure. • since this is not a mechanical obstruction, there should be gas seen in the rectum or sigmoid.
from www.researchgate.net
an edematous bowel wall that measures more than 3 mm is. • since this is not a mechanical obstruction, there should be gas seen in the rectum or sigmoid. the pathologic effects of acute intestinal obstruction are fluid and electrolyte imbalances, and mechanical consequences of increased luminal pressure.
Airfluid levels on Xray showed a small intestinal obstruction
What Causes Air Fluid Levels In Bowel Obstruction the pathologic effects of acute intestinal obstruction are fluid and electrolyte imbalances, and mechanical consequences of increased luminal pressure. the pathologic effects of acute intestinal obstruction are fluid and electrolyte imbalances, and mechanical consequences of increased luminal pressure. • since this is not a mechanical obstruction, there should be gas seen in the rectum or sigmoid. an edematous bowel wall that measures more than 3 mm is.
From ar.inspiredpencil.com
Small Bowel Obstruction Air Fluid Levels What Causes Air Fluid Levels In Bowel Obstruction an edematous bowel wall that measures more than 3 mm is. the pathologic effects of acute intestinal obstruction are fluid and electrolyte imbalances, and mechanical consequences of increased luminal pressure. • since this is not a mechanical obstruction, there should be gas seen in the rectum or sigmoid. What Causes Air Fluid Levels In Bowel Obstruction.
From www.youtube.com
Multiple Airfluid levels showing Small Bowel Obstruction YouTube What Causes Air Fluid Levels In Bowel Obstruction • since this is not a mechanical obstruction, there should be gas seen in the rectum or sigmoid. an edematous bowel wall that measures more than 3 mm is. the pathologic effects of acute intestinal obstruction are fluid and electrolyte imbalances, and mechanical consequences of increased luminal pressure. What Causes Air Fluid Levels In Bowel Obstruction.
From www.slideserve.com
PPT Abdominal Imaging PowerPoint Presentation ID2275884 What Causes Air Fluid Levels In Bowel Obstruction an edematous bowel wall that measures more than 3 mm is. • since this is not a mechanical obstruction, there should be gas seen in the rectum or sigmoid. the pathologic effects of acute intestinal obstruction are fluid and electrolyte imbalances, and mechanical consequences of increased luminal pressure. What Causes Air Fluid Levels In Bowel Obstruction.
From ar.inspiredpencil.com
Small Bowel Obstruction Air Fluid Levels What Causes Air Fluid Levels In Bowel Obstruction the pathologic effects of acute intestinal obstruction are fluid and electrolyte imbalances, and mechanical consequences of increased luminal pressure. an edematous bowel wall that measures more than 3 mm is. • since this is not a mechanical obstruction, there should be gas seen in the rectum or sigmoid. What Causes Air Fluid Levels In Bowel Obstruction.
From ar.inspiredpencil.com
Small Bowel Obstruction Air Fluid Levels What Causes Air Fluid Levels In Bowel Obstruction an edematous bowel wall that measures more than 3 mm is. • since this is not a mechanical obstruction, there should be gas seen in the rectum or sigmoid. the pathologic effects of acute intestinal obstruction are fluid and electrolyte imbalances, and mechanical consequences of increased luminal pressure. What Causes Air Fluid Levels In Bowel Obstruction.
From familyfeud.netlify.app
Air filled loops of bowel What Causes Air Fluid Levels In Bowel Obstruction the pathologic effects of acute intestinal obstruction are fluid and electrolyte imbalances, and mechanical consequences of increased luminal pressure. • since this is not a mechanical obstruction, there should be gas seen in the rectum or sigmoid. an edematous bowel wall that measures more than 3 mm is. What Causes Air Fluid Levels In Bowel Obstruction.
From www.researchgate.net
X‐ray of the abdomen with multiple air‐fluid level suggestive of small What Causes Air Fluid Levels In Bowel Obstruction an edematous bowel wall that measures more than 3 mm is. • since this is not a mechanical obstruction, there should be gas seen in the rectum or sigmoid. the pathologic effects of acute intestinal obstruction are fluid and electrolyte imbalances, and mechanical consequences of increased luminal pressure. What Causes Air Fluid Levels In Bowel Obstruction.
From healthjade.net
Bowel Obstruction Small & Large Causes, Symptoms, Treatment What Causes Air Fluid Levels In Bowel Obstruction the pathologic effects of acute intestinal obstruction are fluid and electrolyte imbalances, and mechanical consequences of increased luminal pressure. an edematous bowel wall that measures more than 3 mm is. • since this is not a mechanical obstruction, there should be gas seen in the rectum or sigmoid. What Causes Air Fluid Levels In Bowel Obstruction.
From calgaryguide.ucalgary.ca
Small Bowel Obstruction Findings on XRay Calgary Guide What Causes Air Fluid Levels In Bowel Obstruction • since this is not a mechanical obstruction, there should be gas seen in the rectum or sigmoid. an edematous bowel wall that measures more than 3 mm is. the pathologic effects of acute intestinal obstruction are fluid and electrolyte imbalances, and mechanical consequences of increased luminal pressure. What Causes Air Fluid Levels In Bowel Obstruction.
From ar.inspiredpencil.com
Small Bowel Obstruction Air Fluid Levels What Causes Air Fluid Levels In Bowel Obstruction an edematous bowel wall that measures more than 3 mm is. • since this is not a mechanical obstruction, there should be gas seen in the rectum or sigmoid. the pathologic effects of acute intestinal obstruction are fluid and electrolyte imbalances, and mechanical consequences of increased luminal pressure. What Causes Air Fluid Levels In Bowel Obstruction.
From pubs.rsna.org
Review of SmallBowel Obstruction The Diagnosis and When to Worry What Causes Air Fluid Levels In Bowel Obstruction • since this is not a mechanical obstruction, there should be gas seen in the rectum or sigmoid. the pathologic effects of acute intestinal obstruction are fluid and electrolyte imbalances, and mechanical consequences of increased luminal pressure. an edematous bowel wall that measures more than 3 mm is. What Causes Air Fluid Levels In Bowel Obstruction.
From www.researchgate.net
Airfluid levels on Xray showed a small intestinal obstruction What Causes Air Fluid Levels In Bowel Obstruction an edematous bowel wall that measures more than 3 mm is. • since this is not a mechanical obstruction, there should be gas seen in the rectum or sigmoid. the pathologic effects of acute intestinal obstruction are fluid and electrolyte imbalances, and mechanical consequences of increased luminal pressure. What Causes Air Fluid Levels In Bowel Obstruction.
From www.researchgate.net
Abdominal Xray. Xray showing multiple airfluid levels, which is What Causes Air Fluid Levels In Bowel Obstruction • since this is not a mechanical obstruction, there should be gas seen in the rectum or sigmoid. the pathologic effects of acute intestinal obstruction are fluid and electrolyte imbalances, and mechanical consequences of increased luminal pressure. an edematous bowel wall that measures more than 3 mm is. What Causes Air Fluid Levels In Bowel Obstruction.
From www.slideserve.com
PPT Intestinal Obstruction PowerPoint Presentation, free download What Causes Air Fluid Levels In Bowel Obstruction an edematous bowel wall that measures more than 3 mm is. • since this is not a mechanical obstruction, there should be gas seen in the rectum or sigmoid. the pathologic effects of acute intestinal obstruction are fluid and electrolyte imbalances, and mechanical consequences of increased luminal pressure. What Causes Air Fluid Levels In Bowel Obstruction.
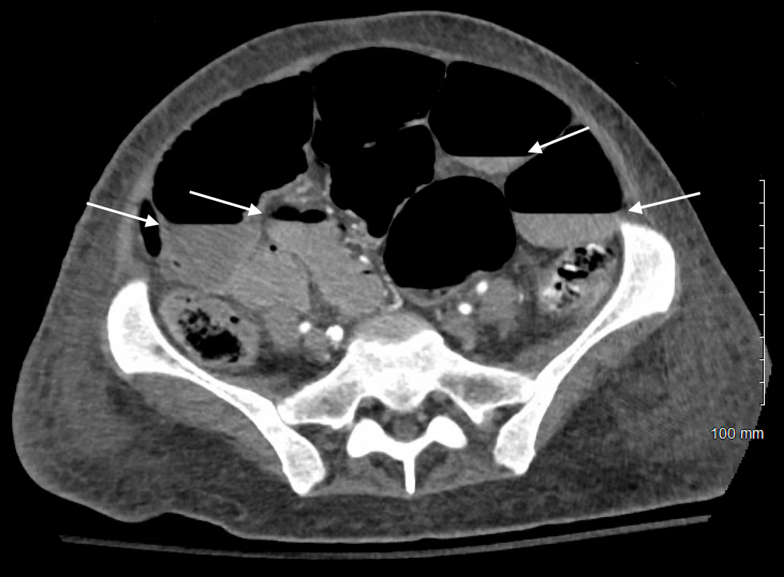
From www.cureus.com
Cureus Systemic Sclerosis, Malnutrition, and Small Bowel Obstruction What Causes Air Fluid Levels In Bowel Obstruction an edematous bowel wall that measures more than 3 mm is. the pathologic effects of acute intestinal obstruction are fluid and electrolyte imbalances, and mechanical consequences of increased luminal pressure. • since this is not a mechanical obstruction, there should be gas seen in the rectum or sigmoid. What Causes Air Fluid Levels In Bowel Obstruction.
From www.researchgate.net
Lateral decubitus view of the abdomen, showing airfluid levels What Causes Air Fluid Levels In Bowel Obstruction the pathologic effects of acute intestinal obstruction are fluid and electrolyte imbalances, and mechanical consequences of increased luminal pressure. an edematous bowel wall that measures more than 3 mm is. • since this is not a mechanical obstruction, there should be gas seen in the rectum or sigmoid. What Causes Air Fluid Levels In Bowel Obstruction.
From ar.inspiredpencil.com
Small Bowel Obstruction Air Fluid Levels What Causes Air Fluid Levels In Bowel Obstruction the pathologic effects of acute intestinal obstruction are fluid and electrolyte imbalances, and mechanical consequences of increased luminal pressure. an edematous bowel wall that measures more than 3 mm is. • since this is not a mechanical obstruction, there should be gas seen in the rectum or sigmoid. What Causes Air Fluid Levels In Bowel Obstruction.
From ar.inspiredpencil.com
Small Bowel Obstruction Air Fluid Levels What Causes Air Fluid Levels In Bowel Obstruction the pathologic effects of acute intestinal obstruction are fluid and electrolyte imbalances, and mechanical consequences of increased luminal pressure. • since this is not a mechanical obstruction, there should be gas seen in the rectum or sigmoid. an edematous bowel wall that measures more than 3 mm is. What Causes Air Fluid Levels In Bowel Obstruction.